Etkö halua mennä hammaslääkäriin? Näin poistat plakin 3 raaka-aineen avulla
Tiesitkö? Plakista pääsee eroon simppelin kotikonstin avulla.
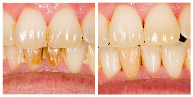
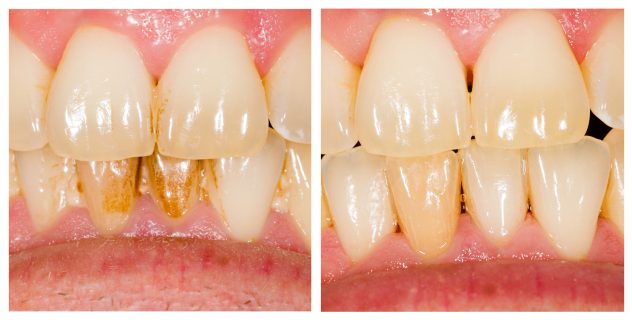
Jokaisen ihmisen suussa on plakkia – toisilla vain vähän ja toisilla hieman enemmän tai jopa liikaa. Plakin ja hammaskiven poistattaminen voi olla kallista varsinkin yksityisissä hammaslääkäreissä. Lisäksi plakin ja hammaskiven poistaminen tuntuu inhottavalta. Hammaslääkärissä homma hoituu yleensä muutamissa minuuteissa, joten olisiko jonkinlaista menetelmää tehdä sama kotona? On olemassa eräs halpa, nopea ja simppeli kotikonsti, jonka avulla voit ratkaista ongelman kotonasi – menetelmän on myös tieteellisesti todistettu toimivan.
Tässä ainekset:
1. Suola Tavallinen merisuola kelpaa. Tarvitset sitä noin teelusikallisen verran. Kaada suola pieneen mukiin tai lasiin. 2. Leivinjauhe Lisää suolan joukkoon noin 2 tl leivinjauhetta ja sekoita. 3. Vesi Lisää joukkoon varovaisesti vettä. Joskus jopa 1 tl vettä riittää, joten ole tarkkana. Sekoita, kunnes seos alkaa muistuttamaan hammastahnaa. 4. Hammasharja Harjaa hampaitasi noin 3 minuutin ajan ja yritä päästä huolellisesti hampaiden takaosiin asti. Huuhtele suusi vedellä. Huom: Yritä olla maistamatta seosta – se ei maistu hyvältä! Näin helppoa se oli! Jos jokin jäi epäselväksi, voit katsoa oheiselta videolta tarkemmat ohjeet! Jaa vinkki Facebookissa, jotta ystäväsi säästävät rahaa ja oppivat kätevän niksin! :)LUE MYÖS:
👉 Vuoden kovin tarjous: 1€ = 60 ilmaiskierrosta ilman kierrätystä!
- Talleta 1€
- Saat heti 60 ilmaiskierrosta!
- Ei kierrätysvaatimusta!
- 6 vinkkiä, joiden avulla matkustat lennolla aina tyylikkäänä
- Tämä istumapaikka on lentokoneessa kaikkein vaarallisin – vältä viimeiseen asti
- Älä koskaan tilaa tätä suosittua juomaa lennolla – sillä on ikävät seuraukset
- 10 uskomattoman edullista matkakohdetta vuonna 2026
- Lentoemäntä paljastaa: Nämä koodisanat kertovat, että miehistö pitää sinua kuumana
- Teetkö tämän virheen hotellissa? Saatat tuoda luteet mukanasi kotiin
- Nämä 15 asiaa saavat lentoemännät raivon partaalle – teetkö sinäkin näitä?
- Älä ikinä käytä tätä asiaa hotellihuoneessa – syy saa sinut voimaan pahoin
- Tämä ystävällinen ele vain lisää hotellisiivoojan työtä – lopeta se heti
- Kokeile näitä 3 ovelaa kikkaa, jos haluat ettei kukaan istu viereesi lennolla
- Lentoemäntä paljastaa: Nämä koodisanat kertovat, että miehistö pitää sinua kuumana
- Nämä 15 asiaa saavat lentoemännät raivon partaalle – teetkö sinäkin näitä?
- Teetkö tämän virheen hotellissa? Saatat tuoda luteet mukanasi kotiin
- Älä koskaan tilaa tätä suosittua juomaa lennolla – sillä on ikävät seuraukset
- 10 uskomattoman edullista matkakohdetta vuonna 2026
- Tämä istumapaikka on lentokoneessa kaikkein vaarallisin – vältä viimeiseen asti