Kiusattu nainen sai apua plastiikkakirurgilta – nyt kiusaajat katuvat jokaista sanaa
Plastiikkakirurgia on saanut ehkä liiankin huonon maineen sen vuoksi että ihmiset haluavat muovata kehoaan radikaalisti. Plastiikkakirurgiasta voi olla kuitenkin valtavasti hyötyä sellaisille ihmisille, jotka kärsivät itsetunto-ongelmista tai eroavat muista ulkonäöllisesti.
Tässä tapauksessa kasvojen leikkaaminen muutti pysyvästi nuoren naisen elämän. Plastiikkakirurgia ei todellakaan ole aina ”turhaa hömpötystä.”
Koulukiusaaminen aiheutti vakavia ongelmia
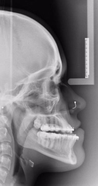
Loulou Rich oli koulukiusattu nuori tyttö, häntä haukuttiin ”pilalle menneeksi naamaksi” – tämä johtui poikkeuksellisen vahvasta alapurennasta, koska hänen leukansa oli jopa 8 millimetriä liian edessä. Loulou kärsi vakavista itsetunto-ongelmista ja hän yritti peittää kasvonsa valokuvissa. Hän käytti apunaan meikkiä, jolla leuan sai meikattua ”piiloon.”Raudat ja leikkaus auttoivat
Louloulla oli kolmen vuoden ajan raudat, jonka jälkeen hän oli valmis leikkaukseen. Plastiikkakirurgi leikkasi Richin leukaa 4 tunnin ajan ja samalla ylä- ja alaleuka asetettiin samalle tasolle. Nyt hänen hymynsä on suorastaan lumoava ja kaikki kiusaajat katuvat taatusti tekojaan.#1
#2
#3
#4
#5
#6
#7
#8
#9
#10
#11
#12
#13
#14
#15
#16
#17
#18
Jaa juttu, jos toivot että kiusaajat menettävät yöunensa nähdessään nämä upeat valokuvat!
Lähde: thesun.co.uk
LUE MYÖS:
👉 Vuoden kovin tarjous: 1€ = 60 ilmaiskierrosta ilman kierrätystä!
- Talleta 1€
- Saat heti 60 ilmaiskierrosta!
- Ei kierrätysvaatimusta!
- Känniääliöt, kiljuvat lapset, vessassa ramppaajat – tässä ovat lentokoneen ärsyttävimmät tyypit
- Siivooja paljastaa: 6 yllättävää asiaa, joihin et halua koskea hotellihuoneessa
- Lennätkö lapsen kanssa? Älä koskaan tee tätä mokaa koneessa
- Tällä nerokkaalla keinolla vältät jet lagin seuraavalla lennollasi
- Älä koskaan pakkaa näitä 5 asiaa mukaan lentokoneeseen – voivat pilata reissun
- Lentoemäntä paljastaa: Tämä on lentokoneen likaisin paikka – voi jopa sairastuttaa
- Tallinnan parhaat ravintolat 2026: Opas suosikkikohteisiin
- Budjettimatkailijan unelma: Euroopan 10 halvinta kaupunkikohdetta
- Lentoemäntä paljastaa: Jos teet tämän asian, voit päästä ykkösluokkaan ilmaiseksi
- Älä koskaan sano näitä 10 asiaa lentoemännälle – siitä ei hyvää seuraa