Nämä röntgenkuvat paljastavat mitä kaikkea ihmiset ovet nielleen ja tunkeneet sisäänsä
Röntegenkuvien avulla lääkärit voivat havaita murtumia ja löytää tarvittaessa kehosta myös ylimääräisiä esineitä.
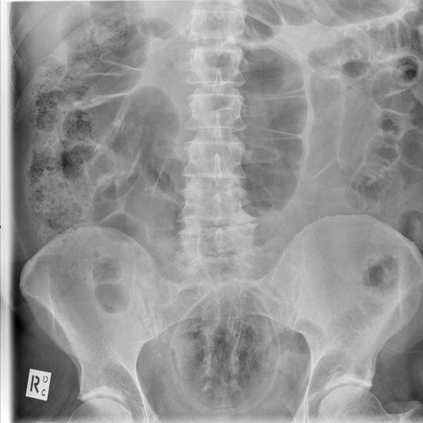
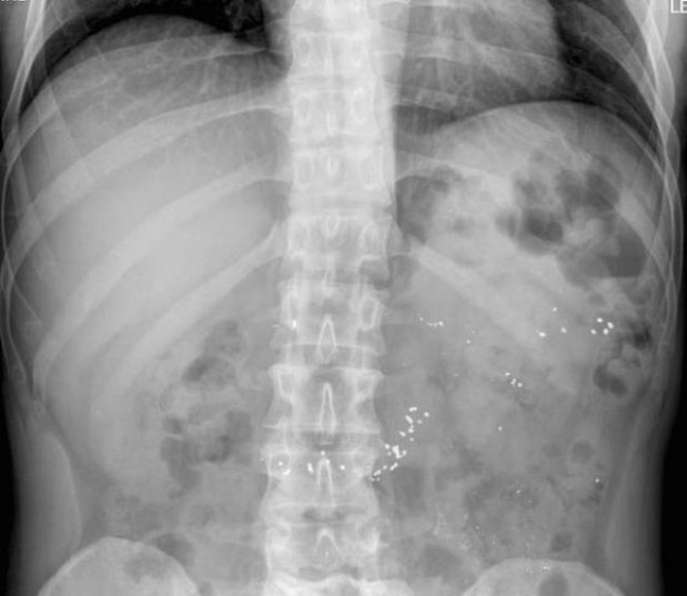
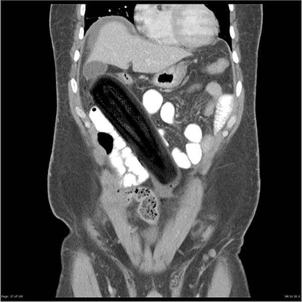
On suorastaan käsittämätöntä katsoa millaisia esineitä ihmiset nielevät ja tunkevat alapään kautta sisään. Röntgenosastolla työskentelevillä lääkäreillä on varmasti aika ajoin naurussa pidättelemistä, kun he löytävät alapäästä viinipulloja, kesäkurpitsoja ja jopa munakoisoja! Ihmiset ovat todella erikoisia varsinkin silloin, kun he yrittävät tyydyttää halunsa. Mukana on myös kuvia tapauksista, jotka sattuivat täysin vahingossa.#1 Naisen vatsasta löytyi 78 ruokailuvälinettä
#2 Aerosolipullo (alapäästä sisään)
#3 Appelsiini
#4 Puhelin
#5 Kesäkurpitsa
#6 Hmm, mikäköhän?
#7 Kananmuna
#8 Munakoiso
#9 Sytkärin täyttöpullo
#10 Miehen jumissa oleva seksilelu ja pihdit, joilla hän yritti saada sen pois
#11 Lämpömittarin hajotessa päälle roiskunutta elohopeaa
#12 Tykin panos
#13 VHS-kasetti
#14 Nauloja???
#15 Oluttuoppi
#16 Naula sormen läpi
#17 Lusikka kurkussa
#18 Metalliputki peräaukossa
#19 Vibraattori
#20 Hääsormus
#21 Viinipullo miehen pyllyssä ja metallilanka, jolla hän yritti saada sitä pois
Kaikkea sitä ihminen itseensä tunkee! Jaa juttu kaverille, joka pitää erikoisista kuvista!
Lähde: izismile.com
LUE MYÖS:
👉 Vuoden kovin tarjous: 1€ = 60 ilmaiskierrosta ilman kierrätystä!
- Talleta 1€
- Saat heti 60 ilmaiskierrosta!
- Ei kierrätysvaatimusta!
- Tässä ovat maailman parhaat passit – arvaatko kuinka korkealla Suomi on?
- Käytätkö lennolla tätä? Siinä tapauksessa lentoemännät eivät voi sietää sinua
- Näin lentoemännät kostavat salaa rasittaville matkustajille – tätä et halua kokea
- Oletko yksin matkustava nainen? Näillä viidellä niksillä tapaat miehiä lomalla helposti
- Älä koskaan tee lentokoneessa tätä yhtä asiaa: ”Aika varmasti saa porttikiellon”
- Onko lentokoneen vessassa kiellettyä harrastaa seksiä?
- Turistit rynnivät nyt massoina Suomeen – taustalla yksi tietty syy
- Tämä suosikkijuoma maistuu paremmalta lentokoneessa kuin maan pinnalla – kokeile!
- Nerokas niksi: Näin saat matkalaukkusi ensimmäisenä lennon jälkeen
- Suomesta on tullut suosittu kesäkohde – Tästä asiasta turisteja kuitenkin varoitetaan
- Turistit rynnivät nyt massoina Suomeen – taustalla yksi tietty syy
- Onko lentokoneen vessassa kiellettyä harrastaa seksiä?
- Käytätkö lennolla tätä? Siinä tapauksessa lentoemännät eivät voi sietää sinua
- Näin lentoemännät kostavat salaa rasittaville matkustajille – tätä et halua kokea
- Älä koskaan tee lentokoneessa tätä yhtä asiaa: ”Aika varmasti saa porttikiellon”
- Oletko yksin matkustava nainen? Näillä viidellä niksillä tapaat miehiä lomalla helposti